• info@wr-dental.site
  • +971 50 589 2931

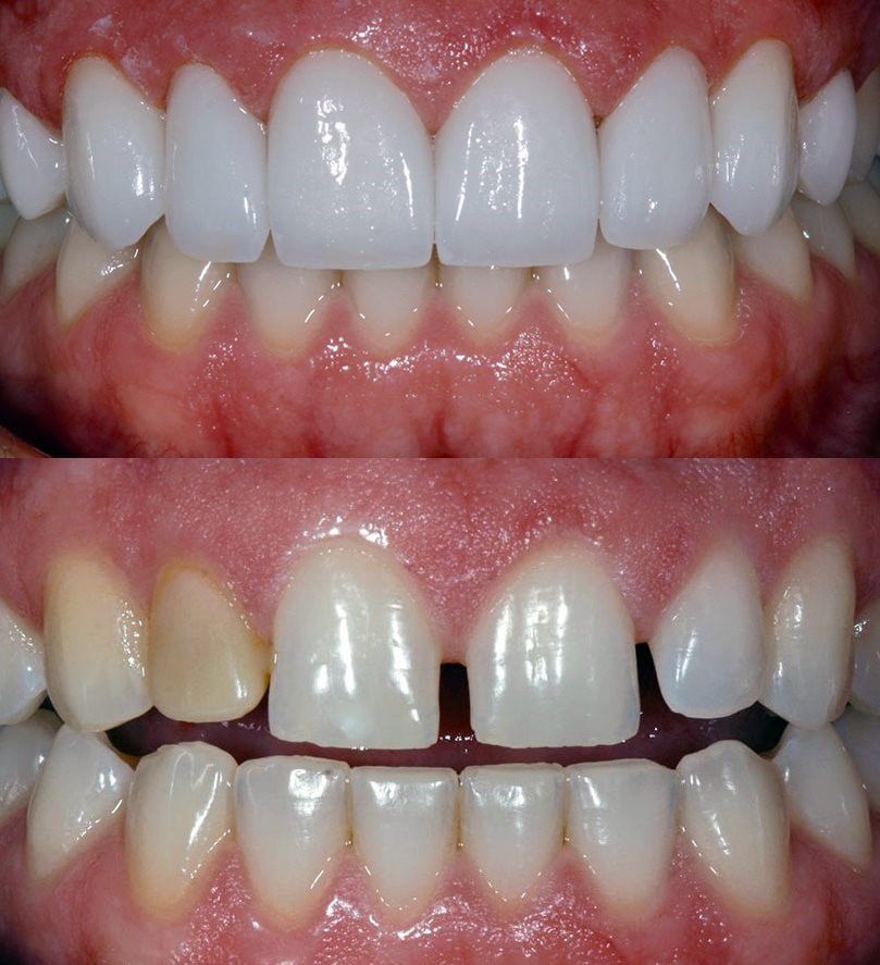
Veneers

Achieve a beautiful smile with porcelain veneers that cover imperfections such as chipped, stained, or misaligned teeth.

Do you want to get our quality service ?